Fillings
Dental fillings are restorative materials used to repair teeth that have been damaged by decay, trauma, or wear. Fillings are made from a variety of materials, including gold, porcelain, composite resin, and amalgam. The type of filling used will depend on the size and location of the cavity, as well as the patient’s preference.
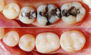
Amalgam vs Composite Fillings: What's the Difference?
Amalgam Fillings
Amalgam fillings, also known as silver fillings, are made from a mixture of metals including silver, mercury, tin, and copper. They’ve been used in dentistry for over a century due to their durability and strength. Amalgam fillings are often recommended for back teeth, where chewing pressure is greatest. However, they are more noticeable because of their silver color.

Composite Fillings
Composite fillings, also known as tooth-colored or white fillings, are made from a blend of plastic and fine glass particles. These fillings are designed to match the natural color of your teeth, making them a popular choice for visible areas like the front teeth. Composite fillings bond directly to your tooth, providing a more natural look, but they may not last as long as amalgam in areas subject to heavy wear.

Key Differences:
- Aesthetic: Composite fillings blend in with your natural teeth, while amalgam fillings are silver in color.
- Durability: Amalgam fillings are more durable for areas with high pressure, while composite fillings are ideal for visible areas.
- Bonding: Composite fillings bond to the tooth structure, which can offer additional support. Amalgam fillings do not bond in the same way
What is a dental filling?
What type of dental fillings are available?
How long do fillings last?
Book an Appointment
Achieve Your Perfect Smile Today!


